الأحد 21 ديسمبر 2025
facebook
twitter
youtube
instagram
telegram
رئيس مجلس الإدارة
هبة صادق
رئيس التحرير
أحمد إمبابي
أخبار
خدمات
حوادث
اقتصاد
رياضة
عربى ودولي
فنون
روزا T.V
محافظات
البحث
المنصورة صفحة 13
انهيار عقار جزئيًا بالمنصورة وفرض كوردون حوله
الجمعة 10/مايو/2024 - 01:39 م
عاجل| لحقت بأطفالها.. وفاة الضحية الرابعة لانفجار أسطوانة غاز داخل منزل بالدقهلية
الإثنين 06/مايو/2024 - 12:55 م
عاجل| الكيف يحكم.. سيدة تتهم زوجها بتعذيبها وحلق شعرها بالدقهلية
السبت 04/مايو/2024 - 10:47 ص
النار مسكت فيها.. مصرع فتاة وإصابة والدتها وشقيقتها في حريق بالدقهلية
الجمعة 03/مايو/2024 - 06:42 م
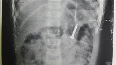
استخراج "مسمار" من معدة طفلة بمستشفى المنصورة التخصصي
الأربعاء 01/مايو/2024 - 01:46 ص
لاعبات استاد المنصورة يحصدن ميداليات بطولة الجمهورية للجمباز
الثلاثاء 30/أبريل/2024 - 10:50 م
احتفال الأقباط داخل كنائس الدقهلية بأحد الشعانين
الأحد 28/أبريل/2024 - 04:17 م
عاجل| خلّف 5 ضحايا و8 مصابين.. ننشر صور ضحايا حادث طريق "شها"
الأحد 28/أبريل/2024 - 11:33 ص
انتشال جثمان شخص غرق أثناء صيده الأسماك بالدقهلية
الأربعاء 24/أبريل/2024 - 11:06 ص
7 مصابين في حادثي تصادم بالدقهلية.. ننشر الأسماء
الإثنين 22/أبريل/2024 - 01:11 م
إصابة 6 مواطنين إثر اصطدام سيارة ميكروباص برصيف في الدقهلية
الإثنين 22/أبريل/2024 - 11:00 ص
القبض على عامل يتحرش بالفتيات بموقف سندوب في الدقهلية
السبت 20/أبريل/2024 - 06:55 م
أنقذ فتاة من الانتحار.. تشييع جثمان "يوسف" شهيد الشهامة بالدقهلية
الخميس 18/أبريل/2024 - 06:08 م
عاجل.. خطة ومواعيد تخفيف أحمال الكهرباء بمحافظة الدقهلية
الإثنين 15/أبريل/2024 - 12:19 م
عاجل.. إنقاذ شاب ألقى بنفسه من أعلى كوبري طلخا بالدقهلية
الثلاثاء 26/مارس/2024 - 02:27 م
إجراء عاجل من "جنايات المنصورة" بشأن المُدرس المتهم بالتخلص من الطالب "إيهاب أشرف"
الأربعاء 20/مارس/2024 - 02:15 م
عاجل.. أول ظهور للمُدرس المتهم بالتخلص من الطالب "إيهاب أشرف" داخل قفص الاتهام
الأربعاء 20/مارس/2024 - 11:56 ص
عاجل| قبل بدء المحاكمة.. محامي قاتل"إيهاب أشرف" يعلن تنحيه عن القضية
الأربعاء 20/مارس/2024 - 09:55 ص
الحالة الثانية خلال ساعات.. عاطل يتخلص من حياته شنقًا بالدقهلية
الإثنين 18/مارس/2024 - 11:45 م
عاجل.. أصيب بوعكة خلال التراويح.. تطورات الحالة الصحية لحارس مرمى المنصورة
الخميس 14/مارس/2024 - 05:01 م
هشم رأسه بشومة.. جنايات المنصورة تقضي بإعدام سائق تخلص من زميله بسبب تحميل الركاب
السبت 09/مارس/2024 - 03:50 م
إحالة "منة" المتهمة بقتل والدها بالاشتراك مع خطيبها للمحاكمة الجنائية
الجمعة 08/مارس/2024 - 07:37 م
عاجل| قيدوه بحجر وألقوه في المياه حيًا.. إحالة المتهمين بقتل طفل بالدقهلية للمحاكمة الجنائية
الأربعاء 28/فبراير/2024 - 03:17 م
عاجل| اكتملت فصول ابشع جريمة.. العثور على "رأس" طالب الثانوي بـ"الدقهلية"
الخميس 22/فبراير/2024 - 02:18 م
أسرة "إيهاب أشرف" طالب الدقهلية المقتول تتسلم نصف جثته لدفنها
الأربعاء 21/فبراير/2024 - 07:54 م
بسبب تسريب غاز.. إصابة أسرة بحالة اختناق في الدقهلية
الثلاثاء 20/فبراير/2024 - 04:41 م
بضربة على رأسه.. مصرع مسن خلال مشاجرة بالدقهلية
الإثنين 19/فبراير/2024 - 10:13 م
عاجل| 21 منفذًا.. خريطة معارض "أهلًا رمضان" بالدقهلية 2024
الأحد 18/فبراير/2024 - 01:30 م
إصابة 3 أشخاص في حادث تصادم على طريق جمصة بالدقهلية
الأحد 18/فبراير/2024 - 12:34 م
إصابة شاب ألقى بنفسه من كوبري المرور بالدقهلية
الأحد 18/فبراير/2024 - 11:59 ص
...
8
9
10
11
12
13
14