الأحد 21 ديسمبر 2025
facebook
twitter
youtube
instagram
telegram
رئيس مجلس الإدارة
هبة صادق
رئيس التحرير
أحمد إمبابي
أخبار
خدمات
حوادث
اقتصاد
رياضة
عربى ودولي
فنون
روزا T.V
محافظات
عاجل
في عددها الجديد.. "روزاليوسف" تنفرد برسائل خاصة "بخط إيد" أم كلثوم
البحث
بنها الجامعى
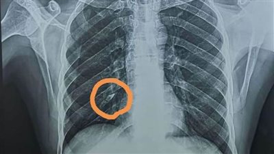
إنقاذ حياة طفل ابتلع فول سوداني في القصبة الهوائية ببنها الجامعي
الخميس 30/نوفمبر/2023 - 10:38 ص
طالب يتعدى على والده في مشاجرة لخلافات بينهما في طوخ
الأربعاء 28/سبتمبر/2022 - 05:27 م
رئيس قسم الباثولوجيا الإكلينيكية: توافر المخزون الاستراتيجي للدم بمستشفيات بنها الجامعية
الأربعاء 04/أغسطس/2021 - 02:05 م
بنها الجامعى ينجح في استخراج "دبوس تنجيد" من صدر شاب
الأربعاء 28/يوليو/2021 - 11:49 ص
"الدخاخني" يتفقد بنها الجامعي ويستمع للمرضى بالاستقبال
الخميس 29/أبريل/2021 - 08:19 م
بنها الجامعي تنجح في استخراج "سنة" ابتلعها مسن بطريق الخطأ
الإثنين 19/أكتوبر/2020 - 12:00 م
وحدة ميكروسكوب إلكتروني بمستشفى بنها الجامعي
السبت 22/يونيو/2019 - 03:04 م
القبض على 5 تعدوا على أطباء استقبال "بنها الجامعي"
الثلاثاء 07/مايو/2019 - 11:48 ص
20 مليون جنيه لإنشاء وحدة زراعة كبد ببنها الجامعي
الثلاثاء 29/يناير/2019 - 08:08 م
حبس مشرف أسانسير مستشفى بنها
الإثنين 05/فبراير/2018 - 01:19 م