الأربعاء 04 فبراير 2026
facebook
twitter
youtube
instagram
telegram
رئيس مجلس الإدارة
هبة صادق
رئيس التحرير
أحمد إمبابي
أخبار
خدمات
حوادث
اقتصاد
رياضة
عربى ودولي
فنون
روزا T.V
محافظات
البحث
مستشفي شبراخيت
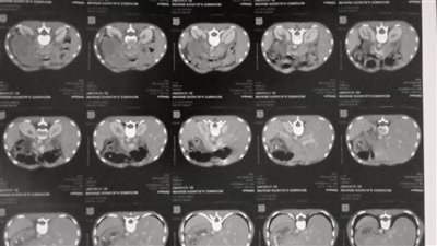
نجاح مستشفى شبراخيت في إجراء جراحتين متقدمتين لمريضين بالبحيرة
السبت 07/أكتوبر/2023 - 03:06 م
إصابة 3 أشخاص في مشاجرة لخلافات الجيرة بالبحيرة
الثلاثاء 04/أكتوبر/2022 - 12:13 م
نجاح عملية جراحية لاستئصال جزء من الأمعاء الدقيقة لشاب بالبحيرة
الخميس 03/فبراير/2022 - 07:21 م
محافظ البحيرة يفتتح تجديدات مستشفى شبراخيت بتكلفة 9ر1 مليون جنيه
الثلاثاء 27/أغسطس/2019 - 03:22 م
افتتاح مبنى الحميات والجهاز الهضمي بمستشفى شبراخيت
الثلاثاء 27/أغسطس/2019 - 02:58 م
وكيل صحة البحيرة يتفقد مستشفى شبراخيت
الأحد 03/فبراير/2019 - 02:14 م
إحالة 74 من العاملين بمستشفى شبراخيت بالبحيرة للتحقيق
الأربعاء 23/يناير/2019 - 12:54 م