نجاح عملية جراحية لاستئصال جزء من الأمعاء الدقيقة لشاب بالبحيرة
في إطار اهتمام الدولة المصرية بتطوير المنظومة الصحية والعلاجية لتقديم خدمات طبية متميزة وخاصة فى التخصصات الدقيقة.
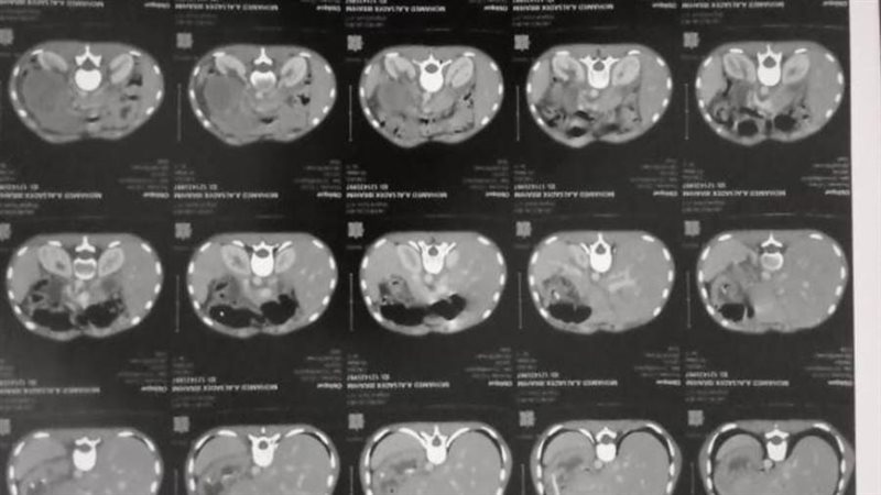
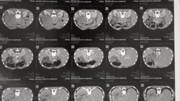
أشاد اللواء هشام آمنة محافظ البحيرة بجهود ونجاح الفريق الطبي بقسم الجراحة العامة وجراحة المناظير بمستشفى شبراخيت المركزي في استئصال جزء من الأمعاء الدقيقة وإعادة التوصيل لشاب في العقد الثالث من عمره يعاني من انسداد في الامعاء متكرر نتيجة متلازمة بوتز جيغرز.
وقام الفريق الطبي بمستشفى شبراخيت بقيادة الدكتور محمود شكر مدير المستشفى والدكتور أحمد صابر بركة استشاري الجراحة العامة والدكتور عمرو سعد بسيوني أخصائي الجراحة العامة ونائب المدير لشؤون الزمالة و الدكتور بهاء مرزوق عبدالحميد أخصائي الجراحة العامة و الدكتور اسلام محمد الصايم طبيب متدرب زمالة جراحة عامة والدكتور محمد عطية ريحان طبيب متدرب زمالة جراحة عامة والدكتور أمير محمد الشريف، أخصائي التخدير بإجراء الجراحة تحت إشراف الدكتور محمود طلحة وكيل الوزارة والكتور حمودة الجزار وكيل مديرية الصحة.
وأعرب المحافظ عن خالص شكره وتقديره للفريق الطبي والأجهزة المعاونة ولإدارة المستشفى تقديرا لمجهوداتهم ودورهم الكبير في تقديم خدمة طبية تليق بالمواطن المصري.



