شاهد.. كبد صيني يتحول إلى كتلة مليئة بالديدان لتناوله أسماكا غير مطبوخة جيدا
أُجبر رجل صيني على إزالة نصف كبده بعد أن امتلأ بالديدان "التي لا تحصى ولا تعد" بسبب ولعه بتناول أسماك غير مطبوخة جيدا.

وأفاد بيان صحفي صادر عن مستشفى "هانجتشو فيرست بيبولز" في شرق الصين أن مواطنا من هانجتشو البالغ من العمر 55 عاما، والملقب بـ "شاي" (Xie)، عانى من فقدان الشهية والتعب وآلام خفيفة في البطن بعد زيارة عائلته في سيتشوان في فبراير الماضي. ومع ذلك، لم يخضع للعلاج الطبي في ذلك الوقت لأنه اعتقد أن أعراضه ناتجة عن الاكتئاب.

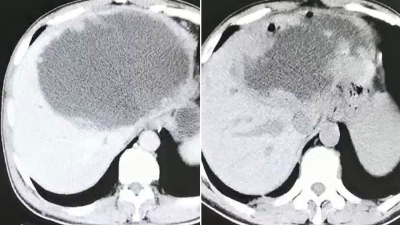
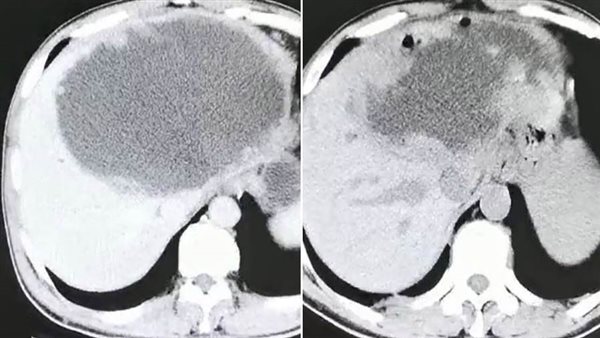
وذهب "شاي" إلى المستشفى بعد أربعة أشهر، عقب معاناته من قشعريرة وحمى شديدة لمدة ثلاثة أيام. وذهل الأطباء عندما اكتشفوا أن كبد المريض يحتوي على كتلة ضخمة مليئة بالصديد يبلغ طولها 19 سم وعرضها 18 سم، وفقا للتقرير. وحاول الجراحون في البداية تقليل النتوء الاجتياحي مثل الكيس، عن طريق تجفيف الكتلة من السوائل، ولكنهم أدركوا بسرعة أن العدوى شديدة جدا، وقرروا قطع نصف الكبد. وكشف فحص لاحق أن الكتلة كانت تحتوي على عدد لا يحصى من البيض الذي وضعه متفرع الخصية الصيني أو وشيعة الكبد الصينية، وهو طفيل موجود في المأكولات البحرية النيئة. واستنتج الأطباء أن "شاي" أصيب بالطفيلي بعد تناول الأسماك غير المطبوخة جيدا أثناء رحلته إلى سيتشوان.

واعترف الرجل الصيني بتعمده تناول المأكولات البحرية النادرة لأنه اعتقد أن هذا يجعل طعم اللحم أفضل. ولحسن الحظ، بفضل الجراحة، أصبح "شاي" في حالة جيدة، وذكر مستشفى هانجتشو أن الرجل تعافى بالكامل بعد العملية.



