منتشر بكثرة في البلدان العربية.. مشروب يدمر الأسنان
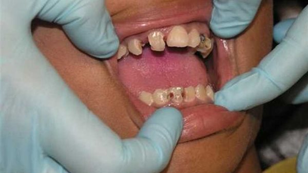
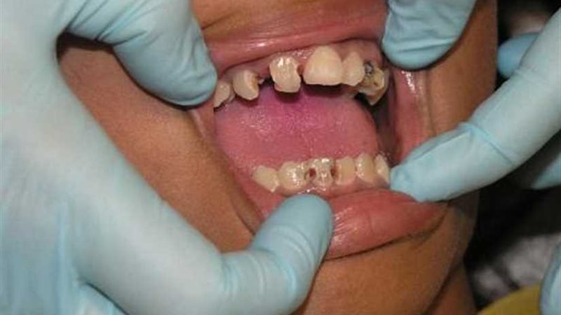
كشف علماء من جامعة برن السويسرية عن المشروب الأكثر ضررا بالأسنان، بعد إجراء تجربة مخبرية على عدد كبير من الأسنان اللبنية والدائمة.
واستخدم المتخصصون السويسريون 300 سن لبني و1020 سنا دائما، موجودة في عيادات أطباء الأسنان.
وغمر الأطباء الأسنان في كل سائل (من المشروبات) لمدة دقيقتين ثم قاسوا صلابة المينا. فوجدوا أن مشروب الكركديه هو الأكثر خطرا على الأسنان ويتسبب بتآكلها بسرعة كبيرة.
وقالت "روسيا اليوم".. أوضح الخبراء أن المشروبات الغازية كالفانتا والبيبسي كولا والكوكا كولا تأتي في الدرجة الثانية بعد الكركديه في تهديدها للأسنان.
وتعد مكملات الكالسيوم من المواد التي تحيّد فعل المشروبات الحامضة. وينصح الخبراء محبي هذه المشروبات الضارة بالأسنان، تناول ما يودونه منها على أن يتناولوها بسرعة للتقليل من زمن تفاعل الأسنان مع البيئة الحمضية.
كما يؤكد الخبراء على ضرورة تنظيف الأسنان، بعد تناول المشروبات الضارة، بالفرشاة والمضمضة بالماء إذا لم تكن الفرشاة بمتناول اليد.



