أكاذيب تجارية حول عدسات الأسنان التجميلية "الفينيرز"
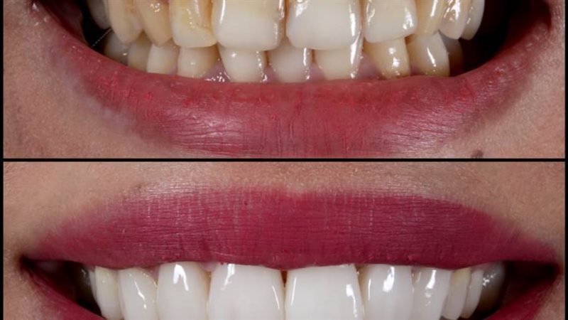
هناك العديد من المفاهيم الخاطئة حول عدسات الأسنان التجميلية "الفينيرز"، عن مدة صلاحيتها وطرق تركيبها بدون برد للأسنان، والتي ثبت أنها غير مناسبة سوى لنسبة ضئيلة جدًا من الأسنان التي تتناسب أبعادها مع تركيب الفينيرز دون مشاكل صحية للأسنان واللثة، يوضحها دكتور شادي سمير أخصائي تجميل وجراحة الفك والأسنان.
وقال: إن هناك بعض الأسماء التجارية لللفينيرز، تم طرحها على الساحة لعمل إبهار للعملاء دون أساس علم،ي مثل تركيب الفينيرز بدون برد للأسنان فتلك الحالة تكون مناسبة لنسبة ضئيلة جدا من الحالات التي تتناسب فيها أبعاد الأسنان مع تركيب طبقة رقيقة من الفينيرز دون أن تسبب شكل الضب، أما عن مشاكلها قد تسبب العديد من المشاكل إذا تم استخدامها مع حالة غير مناسبة، لها فقد تعطي بروزًا للأسنان "ضب" وتسبب التهابًا في اللثة.
وأوضح أنه عند تركيب الفينيرز دون برد الأسنان، فإنها تكون بمثابة طبقة فوق سمك الأسنان الأصلي، مما يتسبب في درجة فراغ بين السنة الأصلية والفينير تعمل على تجميع الأكل دون وجود طريقة لتنظيفه مما يتسبب في التهاب اللثة وتسوس الأسنان.
وقال إن التحضيرللفينيرز بيتم برد 0.5 ملل طبقة رقيقة جدًا، لتركيب الفينيرز بطريقة صحيحة وأيضا وفقًا لحالة الأسنان التي قد تتطلب نسبة أكبر لتجنب بروز الأسنان.
ولفت إلى أن هناك أقاويل أن الفينيرز صلاحيتها تتراوح بين 10 و15 عاما، ولكن رأيي أن الفينيرز مع العناية اليومية بغسلها بمعجون الأسنان والخيط الطبي والعناية الدورية بزيارة عيادة الطبيب كل 6 أشهر، يمكنها أن تستمر مدى الحياة، أما في حالة التركيب الخاطئ أو إهمال العناية بها قد يحدث مشاكل للثة أو تسوس للأسنان الأصلية.
وأشار إلى أن أساس التركيب الناجح للفينيرز يرجع إلى عنصر خبرة الطبيب في هذا المجال لتلافي كل تلك المشاكل، أيضا البرد الزائد للأسنان قد يضر بالمينا ويسبب تساقط الأسنان.



