الرعاية الصحية تعلن نجاح أول عملية علاج الصمام الأورطي بتقنية CERAB بالأقصر
أعلنت الهيئة العامة للرعاية الصحية، عن نجاح أول عملية علاج الصمام الأورطي لمريض باستخدام تقنية (CERAB) داخل مستشفى طيبة التخصصي التابعة لهيئة الرعاية الصحية في الأقصر، وذلك ضمن الخطة العلاجية لإنقاذ حياة مريض عن طريق إجرائين طبيين معقدين في عملية واحدة دون جراحة.
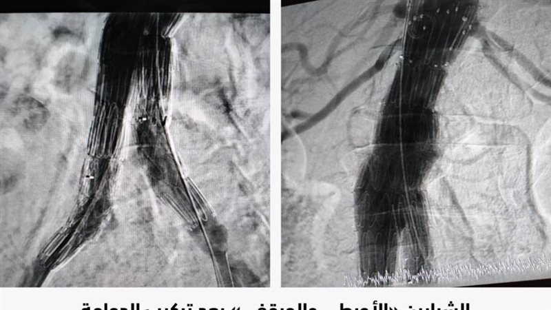
وأشارت هيئة الرعاية الصحية، أنه حضر إلى مستشفى طيبة بالأقصر مريض يبلغ من العمر 52 عامًا، يعاني من غرغرينا بأطراف القدم اليسرى وقرحة مزمنة بالطرف الأخرى، وبإجراء الفحوصات الطبية اللازمة للمريض تبين وجود انسداد مزمن بشرايين الطرفين السفليين مع وجود ضيق شديد بالشريان الحرقفي الأيسر وتمدد بالشريان الحرقفي الأيمن وضيق شديد وقرح بالشريان الأورطي؛ وعليه تم وضع خطة التدخل من الفريق الطبي لعلاج الحالة المرضية عن طريق عمل إجرائين طبيين في عملية واحدة بدون جراحة.
وأضافت الهيئة، أن الإجراء الأول تضمن التعامل مع انسداد الشرايين الطرفية بالطرفين السفليين للمريض من خلال عمل توسيع بالبالون، فيما شمل الإجراء الثاني فى نفس العملية التعامل مع مشاكل الشريان الحرقفي الأيمن والأيسر والأورطي للمريض عن طريق تركيب دعامات مغطاه ذات مقاومة عالية للانسداد باستخدام تقنية (CERAB)، مؤكدة استقرار الحالة الصحية للمريض وخروجه من المستشفى بحالة صحية جيدة.
وتابع د. عيد الزيتون، مدير مستشفى طيبة التخصصي، أن تقنية (CERAB) من أحدث التقنيات فى علاج أمراض الصمام الأورطي، والتي دخلت مصر لأول مرة في مايو 2020، لافتًا إلى أن هذه العملية الأولى من نوعها داخل مستشفيات هيئة الرعاية الصحية، وأنه بذلك تصبح مستشفى طيبة التخصصي من أوائل المستشفيات فى مصر فى إدخال هذه التقنية، مؤكدًا قوة منظومة مستشفيات هيئة الرعاية الصحية وسعيها نحو تقديم أحدث الخدمات الطبية والعلاجية وفق أحدث الإرشادات والممارسات والبروتوكولات العلاجية، وجعلها متاحة لكل المرضى بأعلى معايير الجودة العالمية.
واستكمل، أنه قام بعمل الإجرائين الطبيين للمريض فريق من أمهر الأطباء في معالجة أمراض الأوعية الدموية من شرايين وأوردة باستخدام طرق العلاج الطبية أو الجراحية أو القسطرة، يضم د. عثمان محمود مدرس جراحة الأوعية الدموية والمشرف على قسم جراحة الأوعية الدموية بمستشفى طيبة، د. هشام أبوالعيون مدرس جراحة الأوعية الدموية، د. أشرف النجار مدرس جراحة الأوعية الدموية، كما يضم مدرسي مساعد جراحة الأوعية الدموية "د. عمرو عبدالحكم، د. أحمد خلف"، واستشاري التخدير والعناية المركزة د. سعيد متولي، إضافة إلى الفريق المعاون من ممرضي وفنيي عمليات جراحة الأوعية الدموية بمستشفى طيبة التخصصي في الأقصر.
جدير بالذكر، أن تقنية CERAB، Covered Endovascular Reconstruction of Aortic Bifurcation، تعني استخدام دعامات مغطاة BeGraft وتركيبها عن طريق القسطرة بديلًا عن التدخلات الجراحية لإعادة بناء وفتح قناة جديدة داخل الشريان الأورطي والشرايين الحرقفية لإعادة الدورة الدموية للطرفين السفليين، وتعد هذه التقنية أملًا جديدًا لعلاج مرضي ضيق وانسدادات الشريان الأورطي والشرايين الحرقفية بعيدًا عن الحل الجراحي المعروف، بما يُجنِّب المريض التعرض لمشاكل ومضاعفات التدخل الجراحي والذي يحتاج وقتًا طويلًا لإجرائه، كما أنه لا يصلح لكل الحالات المرضية.



