الصحة العالمية: يمكننا وقاية المزيد من حالات السل
لا يزال السلُّ أحدَ أكثرِ الأمراض فتكًا بالبشر في العالم، بالرغم من إمكانية الوقاية منه، بل والشفاء منه أيضًا. واليومَ، ونحن نحتفل باليوم العالمي لمكافحة السل، تقف منظمة الصحة العالمية صفًّا واحدًا مع شركائها في جميع أنحاء العالم لتجديد الالتزام بإنهاء هذه الجائحة العالمية.
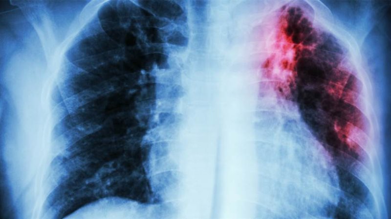
ففي كل عامٍ، يصاب 10 ملايين شخص بالسل على مستوى العالم، والسل مرضٌ معدٍ يصيب الرئتيْن بشكل رئيسي، ولكنه يستطيع مهاجمة أي جزء آخر من أجزاء الجسم. ويقتل السل 1.5 مليون شخص كل عامٍ على الرغم من أنه مرض يمكن الوقاية منه وعلاجه - مما يجعله أكثر الأمراض المعدية فتكًا بالبشر في العالم، ويُعدّ السل أيضًا السبب الرئيسي للوفاة في صفوف المتعايشين مع فيروس العوز المناعي البشري، وأحد العوامل الرئيسية التي تسهم في مقاومة مضادات الميكروبات على الصعيد العالمي. وفي عام 2022، أصيب 856,000 شخص بالسل، وتوفي 84000 شخص من جرَّائه، وهو ما يمثل 8% و7% من حالات الإصابات والوفيات على مستوى العالم.
ولكي نستطيع إيقاف تحوُّل عدوى السل إلى مرضٍ نشطٍ، نحتاج إلى علاج وقائي، فلا يزال الإقبال على العلاج الوقائي من السل في إقليم المنظمة لشرق المتوسط ضعيفًا حتى الاّن، وفي عام 2022، لم يتلق هذا العلاج سوى 5% من المخالطين لمرضى السل المؤهلين لتلقي العلاج و8% من المتعايشين مع فيروس العوز المناعي البشري، ويرجع ذلك إلى حد كبير إلى انخفاض الوعي بين العامة والعاملين بالقطاع الصحي، ونقص التمويل المحلي، واستمرار النزاعات، وضعف إجراءات الفحص، والوصم المرتبط بالسل، ولتلك الأسباب وغيرها، يُصاب كثيرٌ من الناس في الإقليم بالمرض دون داعٍ.
وأوضحت الدكتورة حنان بلخي، المديرة الإقليمية لمنظمة الصحة العالمية لشرق المتوسط، سُبُل المضي قُدُمًا، حيث قالت إنه «بالرغم من التحديات الجسام الماثلة أمامنا، فإننا ملتزمون بزيادة العلاج الوقائي من السل وتوسيع نطاقه ليشمل 60% على الأقل من الذين يمكنهم الاستفادة منه في الإقليم، ونهدف الوصول إلى مليوني شخص سنويًّا بحلول عام 2030، وهو هدف طموح، لكن يمكن إدراكه من خلال تضافر الجهود».
وأضافت الدكتورة حنان إنني أحثُّ الحكومات على تكثيف جهودها تجاه مسؤوليتها الوطنية والتزامها بالوقاية من السل. وينبغي لمقدمي الرعاية الصحية أن يوضحوا فوائد العلاج الوقائي من السل لجميع الأشخاص المؤهلين للحصول عليه، بما في ذلك مخالطو مرضى السل من الأطفال والبالغين، والمصابون بفيروس العوز المناعي البشري، والفئات الأخرى المعرضة للخطر مثل الأشخاص مرضى نقص المناعة، ويمكن للمنظمات المجتمعية أن تُشرِك الناس على المستوى المحلي ليشاركوا بفعالية في الوقاية من السل.
ومن خلال إقامة شراكات قوية، سنُوسِّع نطاق التغطية بالعلاج الوقائي للسل.د، وتستطيع الجهات المانحة والشركاء والقطاع الخاص والشركات المُصنِّعة تيسير الإتاحة المُنصفة والمستدامة لعلاج السل، دون إغفال أحد، ويرتبط ذلك أيضًا ارتباطًا وثيقًا بمبادرة المديرة الإقليمية الرائدة بشأن تحسين إتاحة السلع الطبية الميسورة التكلفة، وضمان سلاسل إمداد عادلة.



