إنقاذ حياة 3 أشخاص بجراحات عاجلة ببنها الجامعي
نجح فريق طبي بقسم جراحة القلب والصدر بمستشفى بنها الجامعي بمحافظة القليوبية، في إنقاذ حياة 3 أشخاص من خلال 3 جراحات عاجلة، حيث كانت الحالة الأولى عبارة عن جراحة قلب مفتوح لاستبدال الصمام المترالى بالقلب عن طريق الشق الصدري المحدود، دون الحاجة للشق التقليدى لعظمة القص، والتي تتطلب غاية في الدقة والمهارة التي يتميز بها جميع أطباء القسم، وتم نقل المريض لعناية جراحة القلب والصدر لاستكمال العلاج.
وأوضح الدكتور عمرو الدخاخني المدير التنفيذي لمستشفيات بنها الجامعية، أن الجراحة الثانية كانت عملية جراحة صدر لطفلة تبلغ من العمر 7 سنوات، تعاني من التصاقات صديدية بالرئة اليمنى، وتم إجراء عملية تقشير كامل للرئة اليمنى، عن طريق شق صدرى محدود وتم نقل المريضة للقسم الداخلى لاستكمال العلاج.
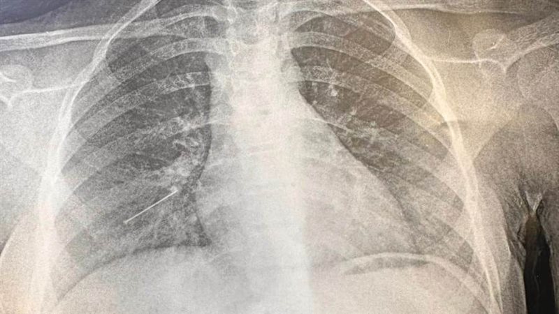
أما الحالة الثالثة فكانت جراحة صدر عاجلة لمريضة تبلغ من العمر 15 عاما تعانى من وجود جسم غريب "دبوس"، بالشعب الهوائية اليمنى البعيدة عن متناول المنظار الشعبي، وتم على الفور إجراء عملية جراحية واستخراج الجسم الغريب عن طريق شق صدري صغير محدود جدا وتم نقل المريضة للقسم الداخلى لاستكمال العلاج.
وتقدم رئيس قسم جراحة القلب والصدر بالمستشفى، بالشكر لفريق التخدير، وكذلك فريق تمريض عمليات وعناية قسم جراحة القلب والصدر.



