فريق طبي بمستشفى القلب بأسيوط يجري جراحة نوعية لاستخراج مقذوف ناري من رئة فتاة بالمنظار
تمكن فريق طبي بمستشفى القلب بجامعة أسيوط من استخراج مقذوف ناري مستقر في أغشية الرئة لفتاة عشرينية، وذلك باستخدام تقنية منظار الصدر الجراحي المتطورة، جاء ذلك تحت رعاية الأستاذ الدكتور أحمد المنشاوي رئيس الجامعة، والأستاذ الدكتور علاء عطية عميد كلية الطب ورئيس مجلس إدارة المستشفيات الجامعية، والأستاذ الدكتور محمد عبد الحميد مدير مستشفى الإصابات، والأستاذ الدكتور محمد عياد رئيس قسم جراحة القلب والصدر ومدير مستشفى القلب.
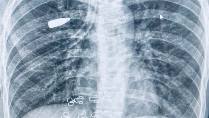
كان مستشفى الإصابات قد استقبل المستشفى فتاة في العقد الثاني من عمرها، وتعاني من إصابة ناتجة عن مقذوف ناري في منطقة الصدر.
وعلى الفور، قام الفريق الطبي بإجراء الفحوصات والإجراءات اللازمة، والتي كشفت عن استقرار المقذوف الناري داخل أنسجة الرئة اليمنى ليتم التنسيق مع مستشفى القلب الجامعي، ويتم تشكيل فريق طبي تحت إشراف الأستاذ الدكتور محمد عياد، وبرئاسة الدكتور محمد فاروق عبد الحافظ، مدرس جراحة القلب والصدر، وضم كلا من، الطبيب علي زين، مدرس مساعد بالقسم، والطبيب محمد ببلاوي، والطبيب مروان أحمد، أطباء مقيمين بالقسم، يعاونه فريق طبي من قسم التخدير والرعاية المركزة تحت إشراف الأستاذة الدكتورة هالة سعد رئيس القسم، وضم كلا من الدكتور عبد الرحمن حمدي، مدرس التخدير والرعاية المركزة، والطبيب أحمد وهبه مدرس مساعد بالقسم، بينما ضم الطاقم التمريض الجراحي المتميز كل من، أخصائي تمريض كيرلس جمال، وفني تمريض خالد مصطفى، وفني تمريض هند عبد المنعم.
وتمت مناظرة دقيقة للحالة وإجراء الأشعات اللازمة التي أكدت استقرار المقذوف بين أغشية الرئة، ليقوم الفريق الطبي بإجراء جراحة دقيقة للغاية، وتم استخراج المقذوف الناري بنجاح باستخدام منظار الصدر الجراحي من خلال فتحة جراحية لا تتعدى 2 سم، مما ساهم في الحفاظ على سلامة الرئة وتقليل التلف إلى أدنى حد، بالإضافة إلى الحفاظ على الشكل الجمالي لجدار الصدر.
وقد تكللت العملية بالنجاح التام، وشهدت حالة الفتاة تحسنًا ملحوظًا، حيث تم السماح لها بمغادرة المستشفى بعد 48 ساعة فقط من إجراء الجراحة وهي في حالة صحية جيدة.










