نجاح جراحة ميكروسكوبية دقيقة لاستئصال ورم بالمخ بمستشفى سوهاج الجامعي
أعلن الدكتور حسان النعماني، رئيس جامعة سوهاج، عن نجاح فريق طبي بالمستشفى الجامعي في إجراء جراحة ميكروسكوبية دقيقة لاستئصال ورم كبير بالمخ لمريض يبلغ من العمر ٥٣ عامًا، باستخدام أحدث تقنيات الميكروسكوب الجراحي، وذلك في إطار خطة الجامعة للقضاء على قوائم الانتظار وتقديم رعاية صحية متميزة لأبناء الصعيد.
وقال “النعماني” إن الجامعة تولي اهتمامًا كبيرًا بتطوير المنظومة الطبية داخل المستشفيات الجامعية، من خلال دعم الكوادر الطبية وتوفير الأجهزة والتقنيات الحديثة، مؤكدًا أن هذا النجاح يأتي تتويجًا لجهود مستمرة لتحسين مستوى الخدمة الطبية وتعزيز الثقة في إمكانيات المستشفى الجامعي.
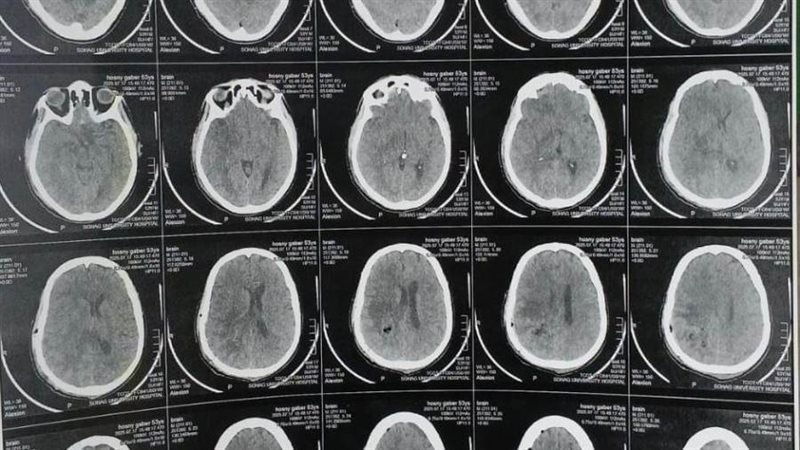
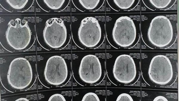
ومن جانبه، أوضح الدكتور مجدي القاضي، عميد كلية الطب البشري ورئيس مجلس إدارة المستشفيات الجامعية، أن المريض كان يعاني من اضطراب بدرجة الوعي وشلل نصفي بالجانب الأيسر، وتبين من الفحوصات وجود ورم بالمخ بحجم ٧×٥×٤ سم، وقد تم استئصاله بالكامل خلال جراحة استغرقت ٤ ساعات، مشيرًا إلى أن الفريق الجراحي استخدم تقنية حديثة تعتمد على حقن الصبغات الورمية لتحديد حدود الورم بدقة.
وأشار الدكتور أحمد كمال عبدالحميد، المدير التنفيذي للمستشفيات الجامعية واستاذ جراحة المخ والأعصاب والعمود الفقري، والذي أجرى الجراحة، إلى أن العملية تمت باستخدام ميكروسكوب جراحي متطور، والحفار الكهربائي لفتح عظام الجمجمة، مما ساهم في الوصول الآمن إلى الورم واستئصاله بالكامل دون التأثير على الأنسجة الحيوية. مضيفًا أن المريض استعاد وعيه بالكامل بعد الجراحة، وعادت حركة الأطراف إلى طبيعتها.
ضم الفريق الطبي الدكتور محمد أيمن عويش، والطبيب أحمد إسماعيل في الفريق الجراحي، الدكتور عبدالهادي نور الدين، الدكتور احمد ممدوح، والطبيب أحمد عبدالجابر في فريق التخدير، كما شارك في العملية من التمريض مستر عبدالكريم ثروت تمريض العمليات، وتحت إشراف مستر شريف عبدالواحد مشرف عام تمريض المستشفيات الجامعية.



