إجراء قسطرتين قلبيتين تداخليتين لعيوب القلب الخلقية للأطفال بجامعة طنطا
أعلن الدكتور محمد حنتيرة عميد كلية الطب جامعـة طنطا ورئيس مجلس إدارة المستشفيات الجامعية، عن نجاح وحدة القسطرة التداخلية لعيوب القلب الخلقية للأطفال بقسم طب القلب والأوعية الدموية بمستشفى الجراحات الجديدة بمستشفيات جامعـة طنطا للمرة الأولى فى تاريخ القسم فى إجراء قسطرتين قلبيتين تداخليتين لطفلين، وتحت إشراف الدكتور حسن التطاوى المدير التنفيذي لمستشفيات جامعـة طنطا ، والدكتور أحمد سويلم مدير المستشفى الرئيسي ومستشفى الجراحات الجديد.
أكد حنتيرة ، أن هذا الحدث الهام هو الأول من نوعه بقسم طب القلب والأوعية الدموية بمستشفيات جامعـة طنطـا الذي نجح بجدارة واستحقاق في إجراء أول نقل حي مباشر من داخل غرفة عمليات القسطرة بمستشفى الجراحات الجديدة ونقله بمؤتمر علمي كبير في نفس الوقت وكذلك المشاركة في رئاسة هذا المؤتمر " مؤتمر جمعية القلب المصرية السنوي".
وأضاف عميد الكلية أن قسم القلب بكلية طب طنطا له بصمة واضحة منذ نشأته فى مجال تدخلات العيوب الخلقية للأطفال، مشيرا أنه منذ نشأة الوحدة وهي تخرج أجيال متعاقبة من الكفاءات الطبية المتميزة وهو ما انعكس على جودة الخدمات الطبية المقدمة للمرضى داخل مستشفيات جامعـة طنطا.
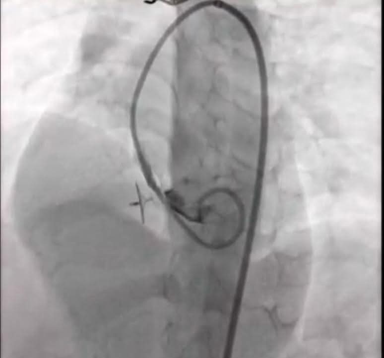
وتفاصيل الحالتين، الأولى حالة معقدة لطفل 5 سنوات من محافظة كفر الشيخ يعانى من تضخم بعضلة القلب نتيجة ثقب بين البطين وتم غلق الثقب بنجاح بينما الحالة الثانية حالة معقدة لطفل 16 سنة من محافظة الغربية تعانى من جلطة سابقة وتم غلق ثقب جنينى بين الأذينين، ويعد نجاح منقطع النظير وسط انبهار جميع الحاضرين من المصريين والأجانب بمختلف الجنسيات الذين شاهدوا أحداث البث الحي المباشر وكلا الحالتين ضمن جهود مستشفيات جامعـة طنطا لتنفيذ توجيهات القيادة السياسية في القضاء على قوائم الانتظار .
والجدير بالذكر أن الفريق الطبي الذي أجرى الحالتين بنجاح يضم، من قسم طب القلب والأوعية الدموية الدكتورة رغدة غنيمى الشيخ أستاذ ورئيس القسم ورئيس وحدة العيوب الخلقية ورئيس المؤتمر ، والدكتورة سحر الشدودى والدكتورة فاطمة أبو السعود طه، والدكتورة نوران مصطفى، والدكتورة ريم راشد والدكتورة دينا الإبشيهى، ومن قسم التخدير والعناية المركزة الدكتور صبرى أمين أستاذ ورئيس القسم، والدكتور عبدالله عرابى والدكتور أحمد زهران والدكتور محمد مصطفى الرفاعى والدكتور أحمد طارق، ومن تمريض المستشفيات الجامعية وفنيين الأشعة المتمثل فى محمد الرفاعى وعايدة شرف الدين ومحمد عابد وسعودي أحمد ومعتز حجازى.



