صحة الشرقية: تركيب دعامات إنقاذ الحياة بالزقازيق العام ضمن التشغيل التجريبي للقسطرة القلبية
كتب - محمود جودة
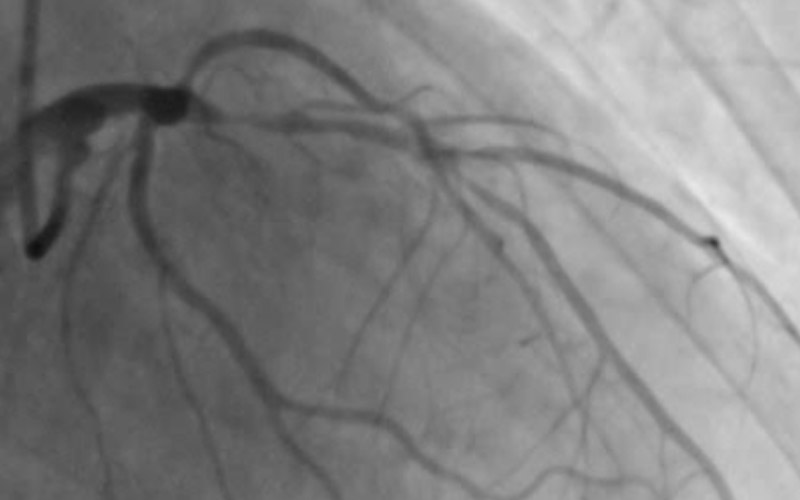
بمتابعة الدكتور هشام شوقي مسعود، وكيل وزارة الصحة بالشرقية، وبعد التشغيل التجريبي لقسم القسطرة القلبية بمستشفى الزقازيق العام للمرة الأولى بصحة الشرقية، تم تركيب دعامات إنقاذ الحياة بنجاح، لحالة مرضية حرجة بوحدة الرعاية المركزة بمستشفى الزقازيق العام.
وقام د. السيد محمد فرج أستاذ القلب والقسطرة القلبية بجامعة الزقازيق، والمشرف الفني على قسم القسطرة بإجراء قسطرة قلبية وتركيب 3 دعامات إنقاذ الحياة، لحالة تعاني من احتشاء بعضلة القلب وقصور حاد بالشريان التاجي.
ونوضح بــ"الصور والفيديو" الشرايين التاجية قبل وبعد تركيب الدعامات، وبالفيديو نوضح الموجات فوق الصوتية، لحالة عضلة القلب قبل تركيب الدعامات.



