الرعاية الصحية: إجراء قسطرة مخية لمريضة مسنة ب 300 جنيه فقط
أعلنت الهيئة العامة للرعاية الصحية، عن إجراء أول قسطرة مخية ناجحة، لمريضة مسنة بمستشفى النصر التخصصي ببورسعيد، يأتي ذلك استمرارًا لريادة الهيئة، وحرصها الدائم على إجراء التدخلات الجراحية المستحدثة، وبمنتهى الدقة لمنتفعي منظومة التامين الصحي الشامل بمحافظة بورسعيد.
ولفتت الهيئة إلى أنه يتم توفير الطواقم الطبية، ذات المهارة في كافة التخصصات الطبية، داخل المنشآت الصحية التابعة لهيئة الرعاية الصحية ببورسعيد، تقديم الخدمة الطبية المميزة لكافة منتفي منظومة التأمين الصحي الشامل بمحافظة بورسعيد، ووفقًا لأحدث المعايير العالمية، وبأعلى جودة بما لا يحمل المرضى أي أعباء مالية أو مشقة الانتقال خارج المحافظة، للحصول على الخدمة الطبية اللائقة.
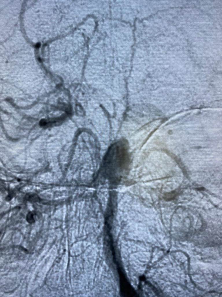
وأضافت الهيئة ،أنه تم عمل الفحوصات الطبية المريضة التي تبلغ من العمر ٥٠ عام فور دخولها مستشفى النصر التخصصي، وتبين أنها تعاني من تمدد شرياني بالشريان القاعدي بالمخ ، وعليه تم إجراء القسطرة التشخيصية المخية للمريضة ووضع الخطة العلاجية لها على يد الأستاذ الدكتور أحمد بسيوني، استشاري القسطرة المخية بمستشفيات هيئة الرعاية الصحية ببورسعيد، وهي الآن تحت الملاحظة وحالتها مستقرة.
وتابع أ.د. أحمد بسيوني أستاذ المخ والأعصاب وقسطرة المخ بطب عين شمس، والمشرف على القسطرة المخية بمستشفيات هيئة الرعاية الصحية ببورسعيد، أن هذا الإجراء يأتي ضمن حزمة من الإجراءات المنوط بها قسم طب المخ والأعصاب بمستشفيات هيئة الرعاية الصحية ببورسعيد برئاسة الاستاذ الدكتور هاني عارف، لافتًا إلى الخدمات العلاجية التي تقدمها وحده السكتة الدماغية وإذابة الجلطات المخيه في زمن قياسي، والذي سيسهم في تقليل معدلات الوفيات والإعاقه للمواطن البورسعيدي، فضلًا عن الاختبارات الفسيولوجية لمرضي المخ والأعصاب، وعلاج مرضي التصلب المتناثر، ومجموعة كبيرة من الخدمات الأخري التي تضمن حصول المواطن البورسعيدي علي الخدمة الأمثل، والتي تضاهي في جودتها أعظم المراكز العالمية وداخل المحافظة دون تحمل مشقة السفر والعناء من أجل توافر الخدمة.
وأوضح الدكتور هيثم عزات، مدير الإدارة العامة للرعاية الصحية والعلاجية، يمثل إجراء القسطرة المخية تتويج لجهود الهيئة لاستحداث حزم الخدمات وتقديم خدمات لم تكن موجودة داخل التأمين الصحي القديم، لافتًا إلى أن تكلفة العملية في القطاع الخاص تتراوح ما بين ٥٠ ألف و٤٠٠ ألف جنيه، في حين يتم إجرائها تحت مظلة التأمين الصحي الشامل بمساهمة لا تتعد ٣٠٠ جنيه.
مشيرًا إلى تعاقد الهيئة مع كوادر طبية ذات مهارة في كافة التخصصات الطبية من كبرى الجامعات المصرية، وذلك تطلعًا لأن يكون ما بين صفوف الفريق الطبي بالهيئة كوادر مميزة تؤهلها أن تصبح "قبلة الطب في مصر".
ومن جانبه أكد د. أحمد السبكي، رئيس مجلس إدارة الهيئة العامة للرعاية الصحية، مساعد وزير الصحة والسكان ، إن إضافة حزم الخدمات الطبية والعلاجية والتي وصلت لأكثر من ٢٥٠ خدمة مستحدثة منذ بداية العام المالي الجديد ، يأتي في إطار توجهات الهيئة والتي تتسق مع أهداف رؤية مصر ٢٠٣٠ والتي تضمن توفير خدمة صحية بأعلى جودة لكل المواطنين دون تمييز وتتسم بالإتاحة والجودة.



